AcceleDent™
| FAQs
| Your First Visit
| Office Tour
| Financial Info
Patient Forms
| Before & After Gallery
| Ortho Essentials
| Why Choose Us?
Events
AcceleDent™
You want to improve the look of your smile, but does the thought of spending months, or even years, in braces sound like too much of a hassle? With the AcceleDent™ System, you can now reduce the time of your orthodontic treatment by 38 to 50%! Using this pain-free, easy appliance, you'll achieve your most perfect smile in no time at all.
How does AcceleDent work?
AcceleDent is a light, comfortable, and hands-free appliance that is used 20 minutes per day as a complement to braces to accelerate tooth movement. The patented technology gently vibrates the teeth and surrounding bone, allowing teeth to move more freely. The best part of the AcceleDent System is that it's completely safe! You may experience a slight tingling sensation, much like that of the vibration of an electric toothbrush, but it should diminish after you become accustomed to using the appliance.
The benefits of AcceleDent will make you smile!
- You'll accelerate your orthodontic experience without sacrificing aesthetics
- AcceleDent can be used for adolescents, teens, and adults, and it is completely safe for patients of all ages.
- The AcceleDent appliance is lightweight and comfortable. You may even forget you're using it!
- The hands-free design allows you to achieve a beautiful, straight smile faster than you ever thought possible – even while reading, watching television, listening to music, or doing school work.
- Our patients report that using AcceleDent dramatically decreases the discomfort they experience after wire changes.
Click Here to download frequently asked questions about AcceleDent.
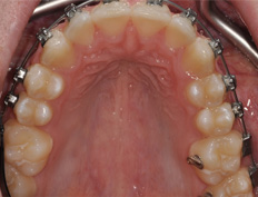
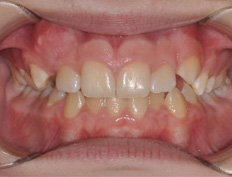
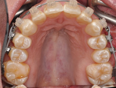
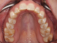
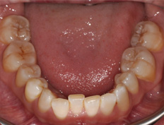
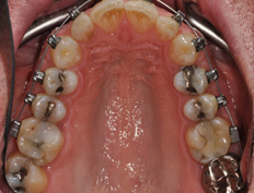
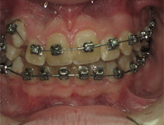
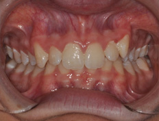
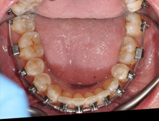
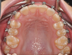
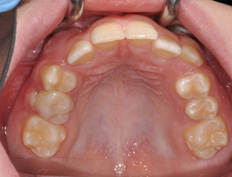
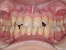
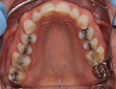
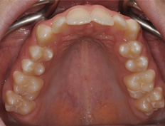
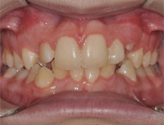
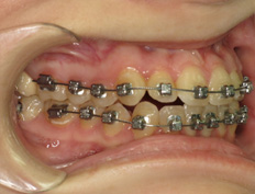
Before & Progress Photos Gallery
Before
In Progress





